杏吧原创

欢迎您!访问同仁医院官网
中文EN

热点推荐

功能科肝脏检查学习培训
作者:admin 来源:本站原创 日期:2015-02-02 字体:

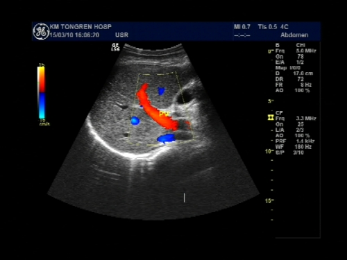
  超声声像图能显示肝脏切面形态、大小、肝内实质结构、管道系统及肝周邻,并能根据肝内管道系统区分肝脏各叶、各段,对病变进行定位诊断。彩色多普勒超声能显示肝脏的血流,并能对肝脏的血流动力学参数进行测定,不仅能诊断肝脏的血管病变,还能了解正常肝脏及病变肝脏的血供及回流状态,目前已成为临床诊断肝脏疾病的常规检查方法。

  病人的准备

  病人检查前需禁食8小时,急症重症患者可根据病情不做严格要求。婴幼儿检查前应禁食3-5小时。 病人先取仰卧位,然后右侧卧位,肝脏血流检测时尤其必要选择此体位。站立位了解肝脏的位置以及急腹症时了解膈下有无游离气体。



  扫查方法

  右肋间斜断扫查

  肝缘下斜断扫查

  纵断扫查

  横断扫查

  冠状断面扫查

  彩色多普勒超声扫查

  彩色多普勒能量图



  肝脏超声分区

  肝脏超声以肝内管道的一级、二级、三级分支未基础,将肝脏分为五叶8段:尾叶(Ⅰ)、左外叶上段(Ⅱ)、左外叶下段(Ⅲ)、左内叶(Ⅳ)、右前叶下段(Ⅴ)、右后叶下段(Ⅵ)、右后叶上段(Ⅶ)、右前叶上段(Ⅷ)



  肝脏常见疾病

  肝脏囊性占位性病变:单纯性肝囊肿、多囊肝、肝脓肿、肝包虫病、肝血肿。

  肝脏实质性占位性病变:肝血管瘤、肝局灶性结节性增生、肝腺瘤、肝错构瘤、原发性肝癌、肝母细胞瘤、转移性肝癌。

  肝脏弥漫性病变:脂肪肝、血吸虫病肝、淤血肝、肝硬化和门脉高压症。

  肝脏血管病变:门脉海绵状变性、门静脉闭塞、肝动、静脉及门静脉栓子、门静脉-肝动脉瘘、肝动脉瘤、肝段下腔静脉阻塞综合征。


同仁风采

科室导航

医生团队

就医导航

特色诊疗

报告查询

医保政策

联系我们

友情链接

环境信息公开

医院地址:云南省昆明市广福路1099号 网站地图
乘车路线:1、乘K15、196、78、24、53、208路公交车到杏吧原创 (广福路)站;2、乘地铁5号线到庄家塘立交桥地铁A口出站 版权所有:杏吧原创-杏吧传媒-杏吧app .ALL rights reserved 云卫网审【2009】017号,滇ICP备09011568号-1