杏吧原创

欢迎您!访问同仁医院官网
中文EN

热点推荐

影像科特色检查:眼、耳、鼻的检查
作者:admin 来源:本站原创 日期:2015-01-31 字体:

  影像科在五官疾病诊治中的严谨、专业,全面开展眼、耳、鼻、喉精细化检查及诊断。

  鼻窦(病例-异物):

                  


  颞骨及耳(病例-前庭导水管扩大)

                  


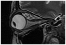
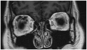
  眼眶(病例-眼上静脉扩张)

    


同仁风采

科室导航

医生团队

就医导航

特色诊疗

报告查询

医保政策

联系我们

友情链接

环境信息公开

医院地址:云南省昆明市广福路1099号 网站地图
乘车路线:1、乘K15、196、78、24、53、208路公交车到杏吧原创 (广福路)站;2、乘地铁5号线到庄家塘立交桥地铁A口出站 版权所有:杏吧原创-杏吧传媒-杏吧app .ALL rights reserved 云卫网审【2009】017号,滇ICP备09011568号-1